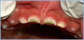
Caries Progression

ECC affects teeth that emerge early and are least protected by saliva. Visualize a child sucking a bottle. With the child's tongue thrust forward, the maxillary incisors get maximal sugar exposure.

Typically ECC progresses in the following order:

  • Upper incisors (maxillary anterior teeth)
  • First molars
  • Second molars

Mandibular incisors, despite emerging first, are generally less affected because they are protected by the tongue and pooling of saliva in that area.

Caries Pattern Reflects Sugar Exposure

Joanna Douglass, BDS, DDS
Joanna Douglass, BDS, DDS
Joanna Douglass, BDS, DDS
Joanna Douglass, BDS, DDS