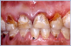
Saliva rinses the mouth and cleans the teeth between meals, neutralizing acids produced by bacteria and allowing the teeth to remineralize. Decreased saliva flow results in dry mouth (xerostomia), which promotes caries and periodontal disease.
Many medications can contribute to xerostomia, and patients who take multiple medications are at highest risk. As a health care professional, ensure that medications that can induce xerostomia are critical to a patient's oral and overall health.

Wolff A, Joshi RK, Ekström J, et al. A Guide to Medications Inducing Salivary Gland Dysfunction, Xerostomia, and Subjective Sialorrhea: A Systematic Review Sponsored by the World Workshop on Oral Medicine VI. Drugs R D. 2017; 17(1): 1-28.